
Alinea tu sonrisa con ortodoncia invisible 50% más rápido.
Sin dolor, cómodo y discreto.
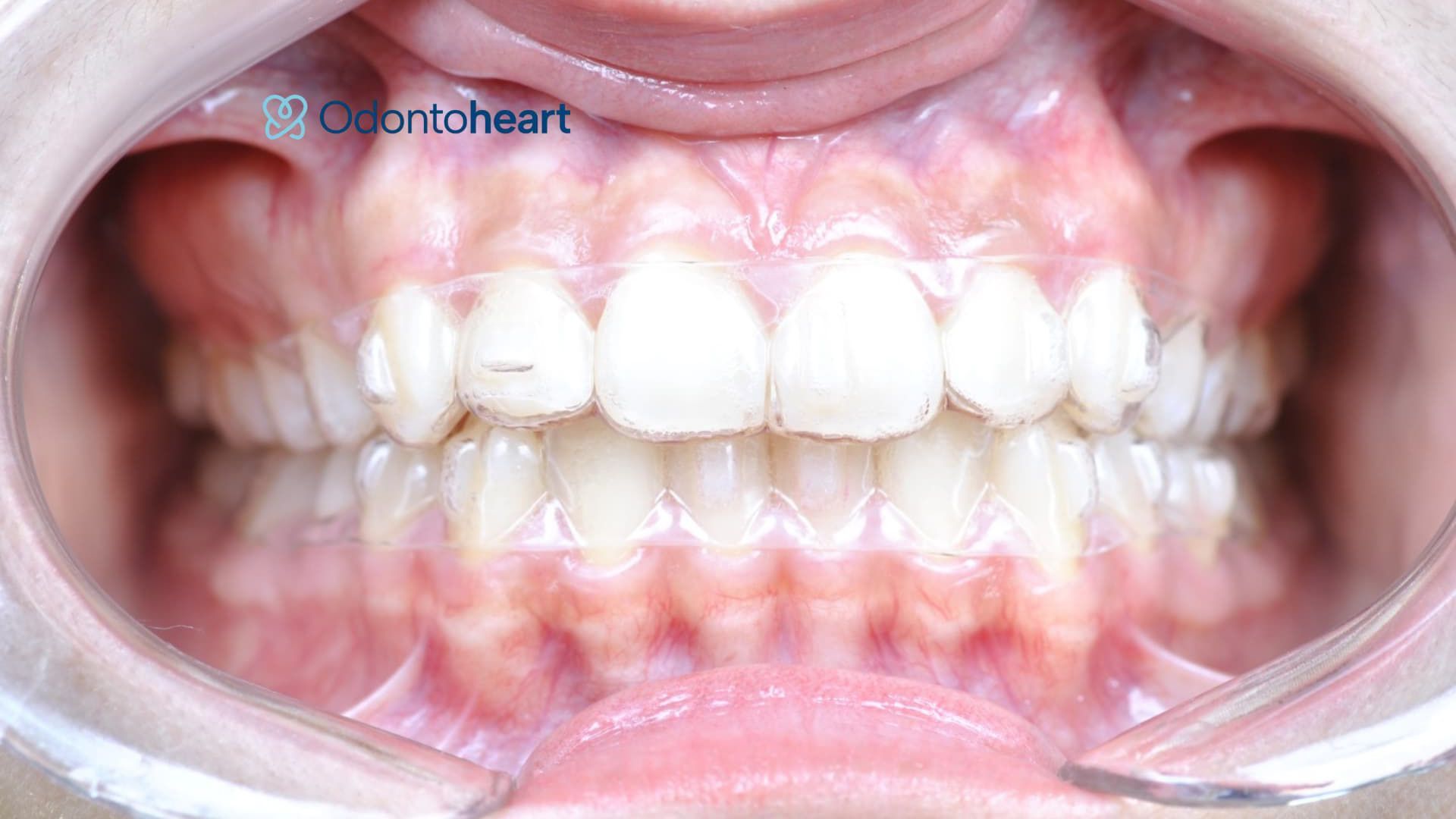
Transforma tu sonrisa con un tratamiento de ortodoncia invisible
Invisalign® es un sistema que utiliza alineadores transparentes y removibles para corregir la posición de los dientes, mejorando la apariencia de la sonrisa de forma cómoda y discreta.
Beneficios
50% más rápido
INVISIBLE
SIN DOLOR
CÓMODO Y DISCRETO
SIN restricciÓN DE ALIMENTOS
MAYOR HIGIENE DENTAL
Invisalign® es un tratamiento cada vez más popular entre los pacientes para obtener una sonrisa estética y funcional sin necesidad de brackets. Gracias al confort durante su uso, la rapidez de los tratamientos y el ser sumamente discretos, lo posicionan como el número 1 en las preferencias.
Una de las preguntas más frecuentes de nuestros pacientes es:
¿CÓMO LIMPIAR LOS ALINEADORES DE INVISALIGN®?
Mantenerlos limpios garantizan que sean prácticamente invisible y hace que sea más agradable su uso. Por eso le compartimos algunos tips.

Alinea tu sonrisa con ortodoncia invisible 50% más rápido.
Sin dolor, cómodo y discreto.
Dr. Alberto Companioni
Especialista en Ortodoncia
En Odontoheart, nuestra misión es brindarte el mejor servicio y atención dental para que puedas disfrutar una sonrisa sana y hermosa. Nos esforzamos por brindarte una experiencia dental cómoda y agradable, para que puedas sentirte tranquilo durante tus visitas.



Tratamiento de Ortodoncia en Niños
Testimoniales

Alinea tu sonrisa con ortodoncia invisible 50% más rápido.











